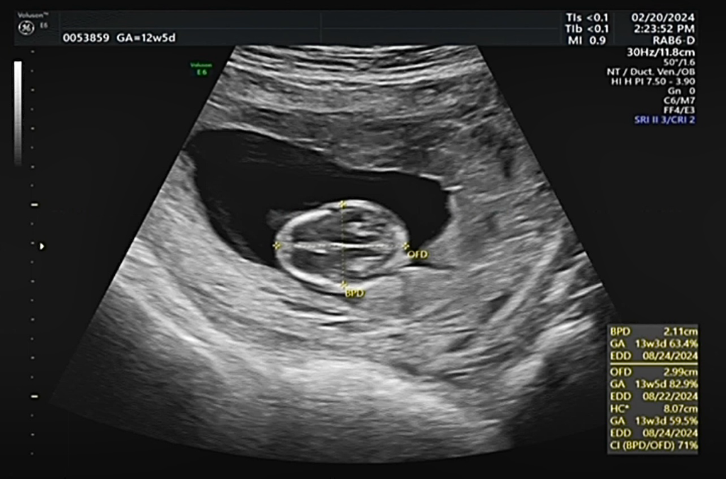
BPD雙頂骨徑21.1mm 13w3d
OFD頭前後徑29.9mm 13w5d
AC腹圍 61.9mm 13w0d
CRL頭臀徑68mm 13w1d
FL股骨長8.2mm 12w3d
上面這是我2/20照高層次出來的數據
我要推算受孕日 想知道應該要以哪個週數會比較準
我的寶寶比較有可能是幾週
OFD的週數就是獅子寶寶了 真的很想推受孕日
因為醫生跟我說寶寶在肚子 有時候可能身體稍微捲曲沒有打直 長度會有一點差
13週看頭會比較準嗎
(我知道都會有差別但想知道看什麼是最準的當天只有超音波技師來不及問醫生
然後那些周數後面的%數是什麼意思
OFD頭前後徑29.9mm 13w5d
AC腹圍 61.9mm 13w0d
CRL頭臀徑68mm 13w1d
FL股骨長8.2mm 12w3d
上面這是我2/20照高層次出來的數據
我要推算受孕日 想知道應該要以哪個週數會比較準
我的寶寶比較有可能是幾週
OFD的週數就是獅子寶寶了 真的很想推受孕日
因為醫生跟我說寶寶在肚子 有時候可能身體稍微捲曲沒有打直 長度會有一點差
13週看頭會比較準嗎
(我知道都會有差別但想知道看什麼是最準的當天只有超音波技師來不及問醫生
然後那些周數後面的%數是什麼意思
